
Soins experts
L’excellence au service de votre sourire éclatant
Au-delà de l’esthétique, une dentition saine reflète un équilibre global. Préserver le capital dentaire demande une attention quotidienne et une compréhension fine des mécanismes biologiques en jeu dans la bouche.

L’équilibre biologique de la cavité buccale
Le microbiome oral joue un rôle de barrière protectrice fondamentale, régulant l’acidité salivaire pour empêcher la déminéralisation progressive des surfaces dentaires exposées aux attaques acides.

Les rituels d’hygiène bucco-dentaire quotidienne
L’élimination mécanique de la plaque bactérienne par un brossage minutieux constitue la seule méthode efficace pour prévenir l’inflammation gingivale et la formation de tartre supra-gingival.

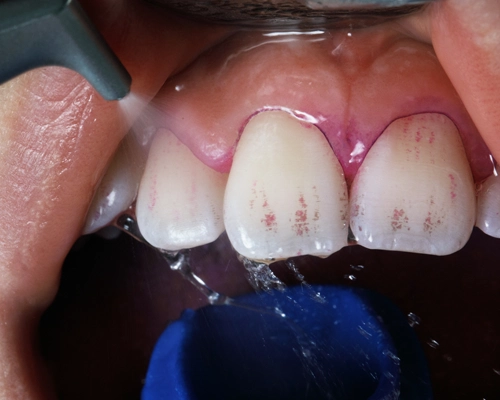
Les interventions et restaurations curatives
Les lésions carieuses profondes nécessitent l’exérèse des tissus infectés suivie d’une obturation composite étanche pour stopper la progression bactérienne vers la pulpe dentaire vitale.
Processus d’éclaircissement et luminosité
L’application contrôlée d’agents oxydants permet de dissoudre les pigments organiques incrustés dans les tubulis dentinaires sans altérer la structure minérale de la dent. Ce procédé chimique redonne de l’éclat au sourire en augmentant la réflexion de la lumière sur l’émail. La supervision par un professionnel garantit la sécurité des tissus mous environnants durant le traitement.
Techniques de blanchiment au fauteuil
L’activation du gel de peroxyde à forte concentration par une lampe spécifique accélère le processus d’oxydation pour des résultats immédiats et contrôlés en une séance. En savoir plus sur dents-blanches.info.
Gouttières ambulatoires sur mesure
Le port nocturne de dispositifs thermoformés contenant un agent éclaircissant plus doux permet un traitement progressif respectant la sensibilité dentinaire sur plusieurs semaines.
Limites et contre-indications cliniques
Les restaurations existantes en céramique ou composite ne réagissent pas aux agents de blanchiment, nécessitant parfois leur remplacement pour harmoniser la teinte finale du sourire.

Harmonie visuelle et reconstruction du sourire
Les dyschromies sévères ou les malpositions légères trouvent une correction immédiate grâce aux facettes en céramique, de fines pellicules collées sur la face visible des dents. Cette technique peu invasive masque les défauts structurels tout en conservant la vitalité de l’organe dentaire et en offrant un rendu optique naturel mimant la translucidité de l’émail. Pour en savoir plus sur les facettes dentaires, consultez www.souriez-blanc-lyon.fr.

Structure microscopique et reminéralisation de l’émail
La surface dentaire, composée de prismes d’hydroxyapatite, subit des attaques acides constantes après chaque ingestion alimentaire. Ce processus de déminéralisation invisible fragilise la structure externe, créant des porosités microscopiques où les pigments alimentaires s’incrustent progressivement, altérant la luminosité naturelle du sourire et favorisant l’apparition de sensibilités thermiques marquées au fil des années.
Brossage électrique rotatif
Les mouvements oscillo-rotatifs désorganisent le biofilm bactérien plus efficacement qu’un geste manuel, atteignant les zones difficiles d’accès.
Hydropulseurs dentaires
Le jet d’eau sous pression déloge les débris alimentaires coincés dans les espaces interdentaires et stimule la circulation sanguine gingivale.
Fil dentaire indispensable
Le passage quotidien du fil de soie élimine la plaque située aux points de contact étroits, là où les brins de la brosse ne pénètrent jamais.
Maintenance parodontale rigoureuse
Innovations thérapeutiques
Technologies d’alignement par gouttières invisibles
L’orthodontie moderne s’appuie sur la modélisation numérique 3D pour concevoir des aligneurs transparents amovibles, corrigeant progressivement les malpositions dentaires. Cette alternative discrète aux bagues métalliques facilite le maintien d’une hygiène rigoureuse durant le traitement, car les dispositifs se retirent lors des repas et du brossage, réduisant le risque de caries.













